最近天气热得让人受不了,你是不是也和我一样,整天想着吃点清凉解暑的东西呢?不过,你知道吗?有些看似清凉的食物,却可能给你带来意想不到的麻烦哦!比如说,小白瓜,这可是夏日里的热门水果,但有些人吃了之后,喉咙却会痛得要命。今天,就让我来和你聊聊这个话题吧!

小白瓜,又称青皮瓜,是夏季里非常受欢迎的一种水果。它口感清甜,水分充足,能够有效解渴消暑。而且,小白瓜富含多种维生素和矿物质,对身体健康大有裨益。所以,很多人在夏天都会买来吃。

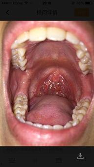
有些人吃了小白瓜之后,喉咙却会痛得要命。这是为什么呢?经过一番调查,我发现主要有以下几个原因:
1. 过敏反应:有些人对小白瓜中的某些成分过敏,吃了之后会出现喉咙痛、呼吸困难等症状。如果你发现自己吃了小白瓜后喉咙痛,首先要考虑是否是过敏引起的。
2. 消化不良:小白瓜虽然水分充足,但同时也比较寒凉。如果你脾胃虚弱,吃了小白瓜后可能会出现消化不良、胃痛、喉咙痛等症状。
3. 口腔溃疡:小白瓜中的酸性物质可能会刺激口腔溃疡,导致喉咙痛。
4. 喉咙炎症:如果你本身就患有喉咙炎症,吃了小白瓜后可能会加重病情,导致喉咙痛。

了解了原因之后,我们再来聊聊如何避免吃小白瓜喉咙痛吧!
1. 了解自己的体质:如果你脾胃虚弱,或者对小白瓜过敏,最好少吃或者不吃。
2. 适量食用:即使是体质较好的人,也不要过量食用小白瓜。一般来说,每天吃一个即可。
3. 搭配其他食物:在吃小白瓜的同时,可以搭配一些温热的食物,如小米粥、姜茶等,以中和寒性。
4. 注意口腔卫生:吃小白瓜后,要记得漱口,避免酸性物质刺激口腔溃疡。
5. 及时就医:如果你吃了小白瓜后出现喉咙痛,且症状严重,要及时就医。
虽然吃小白瓜可能会引起喉咙痛,但这并不意味着我们要放弃这个夏日里的清凉使者。只要我们了解自己的体质,注意饮食搭配,就能避免这个问题。所以,夏天来了,不妨再尝一尝小白瓜,感受那份清凉吧!
提醒大家,在享受美食的同时,也要关注自己的身体健康。毕竟,健康才是最重要的!
本文由admin于2025-12-01发表在91黑料社区,如有疑问,请联系我们。
本文链接:https://91heiliaoshequ.com/post/753.html